Ninguém consegue viver bem sentindo dor de dente e ninguém deveria se olhar no espelho e não se reconhecer. Aqui, o cuidado vai da raiz à autoestima: aliviamos a dor com precisão e devolvemos a leveza ao seu sorriso — por dentro e por fora.

Com técnica, acolhimento e um olhar humano, seu tratamento é feito de forma individualizada, respeitando quem você é e o que você deseja.

Endodontia e

Harmonização Facial

SOBRE A DRA. EMANUELE

Sou Emanuele Schitine, carinhosamente chamada de Manu.

Natural de Corinto e criada em Três Marias, descobri cedo minha paixão por cuidar de pessoas — e foi isso que me levou à Odontologia. Me formei pela UFVJM em 2014 e, desde então, dedico minha carreira a transformar vidas com competência, ética e acolhimento.

Atuo há mais de 10 anos na Endodontia, devolvendo saúde bucal com tratamentos precisos e seguros. Em 2017, me apaixonei pela Harmonização Orofacial — uma especialidade que une ciência e estética para proporcionar autoestima e um envelhecimento saudável com naturalidade.

Sou vaidosa, honesta, humana e apaixonada por tudo que envolve bem-estar. E acredito que ninguém merece sentir dor — nem insegurança com sua aparência.

TRATAMENTOS DE ENDODONTIA

Remoção de pinos intrarradiculares:

Remoção de pinos metálicos que impedem novos tratamentos ou reabilitação protética.

1

2

3

E MUITO MAIS

4

5

Tratamento de canais atrésicos e calcificados:

Casos de difícil acesso devido ao fechamento parcial ou total do canal radicular.

Selamento de perfurações:

Correção de falhas que expõem a raiz dentária, evitando danos estruturais ao dente.

Retiradas de instrumentos fraturados:

Extração de fragmentos de limas ou outros instrumentos quebrados durante procedimentos anteriores.

Retratamento de canal:

Correção de tratamentos mal sucedidos ou que voltaram a apresentar sintomas.

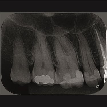
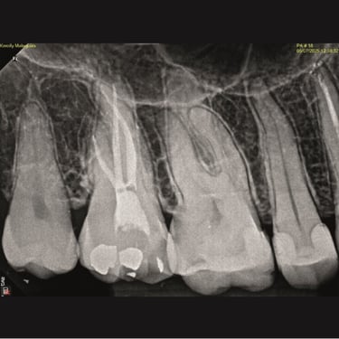
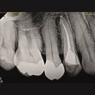
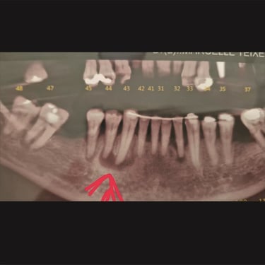
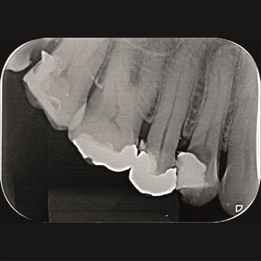
CASOS CLÍNICOS ENDO

Abaixo você encontra fotos de alguns dos tratamentos realizados.

TRATAMENTOS DE HARMONIZAÇÃO

Preenchimento labial:

Mais volume, definição e hidratação para os lábios, mantendo a naturalidade.

1

2

3

E MUITO MAIS

4

Botox para linhas de expressão:

Suavização de rugas e marcas de expressão, com efeito preventivo e rejuvenescedor.

Preenchimento de mandíbula e queixo:

Harmonização dos contornos inferiores do rosto, realçando a simetria facial.

Bioestimuladores de colágeno:

Estimula a firmeza da pele, combatendo flacidez e promovendo efeito lifting progressivo.

CASOS CLÍNICOS HOF

Abaixo você encontra fotos de alguns dos tratamentos realizados.

LOCALIZAÇÃO

R. Prof. Abeylard, 1400 - 2 andar. Nossa Sra. das Gracas, Sete Lagoas - MG, 35700-069

Evite dores, infecções e complicações, cuide do seu sorriso e eleve sua autoestima.